(MRI skenování páteře, MRI skenování mozku)
Přehled řízení
Co je magnetická rezonance (MRI)?
Magnetická rezonance (MRI) je diagnostická metoda, která používá kombinaci velkého magnetu, rádiových kmitočtů, a počítač produkovat detailní snímky z orgánů a struktur v těle.
Jak se dělá MRI skenování práci?
Stroj MRI je velký, válcovitý (ve tvaru trubice), stroj, který vytváří silné magnetické pole kolem pacienta. Toto magnetické pole, spolu s radiofrekvence, mění přirozené uspořádání atomů vodíku "v těle. Počítače jsou pak použity k vytvoření dvojrozměrné (2D) obraz struktury těla nebo orgánu, na základě aktivity vodíkových atomů. Cross-řezy lze získat odhalit další podrobnosti. MRI nevyužívá ionizující záření, stejně jako rentgenové záření nebo počítačová tomografie (CT).
Magnetické pole je vytvořeno a impulsy z radiových vln jsou odesílány ze skeneru. Magnetické pole zarovná vodíkové protony ve vašem těle po stejném vektoru. Rádiové vlny pak srazit částice z této vyrovnané poloze. Vzhledem k tomu, jádra přestavět zpět do správné polohy, jádra vyslat rádiové signály. Tyto signály jsou přijímány prostřednictvím počítače, který analyzuje a převádí je do obrazu té části těla zkoumáno. Tento obrázek na sledování monitoru se objeví. Některé stroje MRI vypadat úzkých tunelech, zatímco jiní jsou více otevřené.
Magnetická rezonance (MRI) mohou být použity namísto výpočetní tomografie (CT) v případech, kdy orgány nebo měkké tkáně jsou studovány, protože s MRI skenování kostí nezakrývají obrazy orgánů a měkkých tkání, stejně jako CT skenování.
Nové použití a indikace k MRI, které přispěly k rozvoji dalších magnetické rezonance technologie. Magnetická rezonance angiografie (MRA) je nový postup slouží k vyhodnocení průtok krve tepnami v neinvazivní (kůže není propíchnout) způsobem. MRA může být také použit k detekci intrakraniální (v mozku), výdutí a cévní malformace (abnormality krevních cév v mozku, míchy nebo jiných částí těla).
Magnetické rezonanční spektroskopie (MRS) je další neinvazivní postup používaný pro hodnocení chemických abnormality v tělesných tkáních, jako je mozek. MRS mohou být použity pro hodnocení poruch, jako je HIV infekce mozku, mrtvice, poranění hlavy, koma, Alzheimerova choroba, nádory, a roztroušená skleróza.
Funkční magnetická rezonance mozku (fMRI), se používá k určení konkrétní místo v mozku, kde určité funkce, jako je řeč nebo paměti, dochází. Obecné oblasti mozku, které se vyskytují tyto funkce jsou známy, ale přesné místo se může lišit od člověka k člověku. Během funkčního rezonance mozku, budete vyzváni k provedení určitého úkolu, jako je recitovat Pledge oddanosti, při skenování se děje. Zjišťováním přesné umístění funkční centra v mozku, lékaři mohou plánovat chirurgický zákrok nebo jiné ošetření pro konkrétní onemocnění mozku.
Anatomie páteře

Páteře, také volal obratle nebo páteřní kanál, se skládá z 33 obratlů, které jsou odděleny houbovité disky a rozděleny do různých oblastí.
Cervikální oblast se skládá ze sedmi obratlů na krku.
Hrudní oblast se skládá z 12 obratlů v oblasti hrudníku.
Bederní oblast se skládá z pěti obratlů v dolní oblasti zad.
Křížová kost má pět, malý srostlé obratle.
Čtyři kokcygeální obratle pojistka tvořit jednu kost, volal kostrč nebo kostrč.
Mícha, hlavní část centrálního nervového systému, který se nachází v páteřního kanálu a sahá od spodní části lebky do horní části v dolní části zad. Mícha je obklopena kostí páteře a vak obsahující mozkomíšní mok. Mícha nese smysl a pohyby signály z mozku, a ovládá mnoho reflexy.
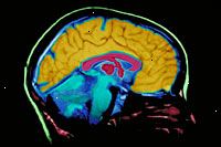
Anatomie mozku
Centrálního nervového systému (CNS) se skládá z mozku a míchy. Mozek je důležitým orgánem, který řídí myšlení, paměť, emoce, dotek, motorické dovednosti, vize, dýchání, teplota, hlad, a každý jiný proces, který reguluje naše tělo.

Jaké jsou různé části mozku?
Mozek může být rozdělena do mozku, mozkového kmene a mozečku:
Mozek. Mozek (supratentoriálních nebo přední část mozku) se skládá z pravé a levé hemisféry. Funkce mozku patří: zahájení pohybu, koordinace pohybu, tělesnou teplotu, dotek, zrak, sluch, úsudek, uvažování, řešení problémů, emocí a učení.
Mozkový kmen. Mozkového kmene (střední čáře nebo střední část mozku) zahrnuje střední mozek, pons a medulla. Funkce této oblasti patří: pohyb očí a úst, předávání smyslové zprávy (horko, bolest, hlasitý, atd.), hlad, dýchání, vědomí, srdeční funkce, tělesné teploty, mimovolní pohyby svalů, kýchání, kašel, zvracení, a polykání.
Mozeček. Mozeček (infratentorial nebo zadní části mozku) se nachází na zadní části hlavy. Jeho úkolem je koordinovat dobrovolné pohyby svalů a udržení držení těla, rovnováhu a rovnováhu.
Přesněji řečeno, ostatní části mozku patří následující:
Pons. Hluboká část mozku, která se nachází v mozkovém kmeni, pons obsahuje mnoho kontrolních oblastí očí a obličeje pohyby.
Dřeň. Nejnižší část mozkového kmene, medulla je nejdůležitější částí celého mozku a obsahuje důležité řídících center pro srdce a plíce.
Mícha. Velký svazek nervových vláken, umístěných na zadní straně, která se rozkládá od spodní části mozku, na spodní části zad, mícha přenáší zprávy z mozku a řídí mnoho reflexy.
Čelní lalok. Největší část mozku se nachází v přední části hlavy, čelní lalok je zapojena do osobnostních charakteristik a pohybu.
Mozkovém laloku. Střední část mozku, mozkovém laloku pomáhá člověku k identifikaci objektů a pochopit prostorové vztahy (pokud je něčí tělo ve srovnání s objekty v okolí osoby). Mozkovém laloku se také podílí na interpretaci bolest a dotek v těle.
Týlní lalok. Týlní lalok je zadní část mozku, která se podílí s vizí.
Temporálního laloku. Strany mozku, jsou tyto světské lalůčky jsou zapojeny do paměti, řeči a čichu.
Důvody pro postup
MRI mohou být použity k vyšetření mozku a / nebo míchy za zranění nebo přítomnost strukturních abnormalit nebo některých jiných onemocnění, jako jsou:
Nádory
Abscesy
Vrozené abnormality
Aneuryzmata
Žilní malformace
Krvácení nebo krvácení do mozku nebo míchy
Subdurální hematom (krvácení oblast těsně pod dura mater, nebo zakrytí mozku)
Degenerativní onemocnění, jako je roztroušená skleróza, hypoxické encefalopatie (dysfunkce mozku v důsledku nedostatku kyslíku), nebo encefalomyelitida (zánět nebo infekce mozku a / nebo míchy)
Hydrocephalus, nebo tekutiny v mozku
Herniace nebo degenerace disků míchy
Nápověda plánu operace na páteři, jako je dekomprese na řasy nervu nebo spinální fúze
MRI může také pomoci identifikovat konkrétní místo funkčního středu mozku (specifická část mozku ovládající funkce, jako je například řeči nebo paměti) na pomoc při léčbě onemocnění mozku.
Mohou existovat i jiné důvody, proč se svým lékařem doporučit MRI páteře a mozku.
Rizika postupu
Protože záření se nepoužívá, neexistuje riziko vystavení ionizujícímu záření v průběhu řízení o MRI.
Vzhledem k použití silného magnetu, MRI nelze provádět u pacientů s implantovanými kardiostimulátory, některé starší intrakraniální aneurysma klipy, kochleární implantáty, některých protetických pomůcek, implantovaných infúzi léku čerpadla, neurostimulátorů, kostní růstové stimulátory, některé nitroděložní antikoncepční prostředky, nebo jakýkoli jiný typ železa na bázi kovových implantátů. MRI je také kontraindikován v přítomnosti některých vnitřních kovových předmětů, jako jsou kulky a šrapnely, stejně jako chirurgické klipy, špendlíky, plechy, šrouby, kovové stehy, nebo drátěné pletivo.
Pokud jste těhotná nebo se domníváte, že můžete být těhotná, měla byste informovat svého lékaře. Obecně platí, že v těhotenství není známo riziko MRI. Nicméně, zvláště v prvním trimestru, MRI by měla být vyhrazena pouze pro použití k řešení velmi důležitých problémů, nebo podezření abnormality.
Použije-li se naopak barvivo, je zde riziko alergické reakce na barvivo. Pacienti, kteří jsou alergičtí nebo citliví na léky, kontrastní barvivo, nebo jódu by měl informovat svého lékaře.
Další onemocnění, které mohou být ovlivněny použitím MRI Naproti tomu jsou jiné alergie, astma, anémie, hypotenze (nízký krevní tlak), onemocnění ledvin a onemocnění srpkovitá.
Nefrogenní systémové fibrózy (NSF) je velmi vzácné, ale vážné komplikace MRI kontrastní použití u pacientů s onemocněním ledvin nebo selhání ledvin. Pokud máte v anamnéze onemocnění ledvin, selhání ledvin, transplantace ledvin, onemocnění jater nebo jsou na dialýze, musíte informovat technolog MRI nebo radiolog před obdržením kontrast.
Mohou existovat další rizika, v závislosti na konkrétní zdravotní onemocnění. Ujistěte se, že diskutovat o jakékoliv obavy s lékařem před postupem.
Před postupem
Váš lékař Vám vysvětlí postup pro vás a nabízejí vám příležitost klást všechny otázky, které můžete mít o postupu.
Pokud váš postup vyžaduje použití kontrastní barvivo, budete požádáni, aby podepsali souhlas formulář, který dává oprávnění k tomu postupu. Přečtěte si formulář pečlivě a klást otázky, jestli něco není jasné.
Obecně platí, že neexistuje žádná speciální omezení stravy nebo činnost před postupu MRI.
Před vyšetřením je velmi důležité, abyste, pokud některý z následujícího platí pro Vás informuje o technologa:
Jste klaustrofobii a myslím, že budete moci ležet, zatímco uvnitř stroje skenování, v takovém případě můžete být sedativa
Máte-li kardiostimulátor vložena, nebo jste měl srdeční chlopně nahrazují
Máte jakýkoliv typ implantované pumpy, jako je například inzulínové pumpy
Máte kovové talíře, kolíky, kovové implantáty, chirurgické svorky nebo aneuryzmatu klipy
Máte nějaké kovové úlomky kdekoliv v těle
Máte trvalé vložku očí nebo tetování
Jste těhotná nebo se domníváte, že můžete být těhotná
Jestliže jste někdy měl střelnou ránu
Vy jste někdy pracoval s kovem (například kovové mlýnek nebo svářeč)
Máte jakýkoliv piercing
Máte nitroděložní tělísko (IUD)
Ty jsou na sobě léky opravu
Protože existuje možnost, že můžete dostat sedativum před zákrokem, měli byste v plánu mít někoho, kdo vás odveze domů později.
Na zdravotní onemocnění základě, může Váš lékař požadovat další zvláštní přípravu.
V průběhu řízení

MRI mozku
MRI lze provádět ambulantně nebo v rámci Vašeho pobytu v nemocnici. Postupy se mohou lišit v závislosti na nemoci a praxí svého lékaře.
Obecně platí, že MRI páteře a mozku má následující postup:
Budete vyzváni k odstranění jakékoliv oblečení, šperky, brýle, naslouchací pomůcky, vlásenky, odnímatelný zubní práci, nebo jiné předměty, které mohou zasahovat do řízení.
Pokud budete vyzváni k odstranění oblečení, budete mít šaty nosit.
Pokud jste se postup provádí s kontrastem, bude intravenózní (IV) linka bude zahájena v ruce nebo paže pro injekci kontrastní léků.
Zde bude ležet na stole, který se posouvá skenování do velkého kruhového otvoru stroje skenování. Polštáře a popruhy mohou být použity, aby se zabránilo jeho pohybu v průběhu řízení.
Technolog bude v jiné místnosti, kde jsou umístěny ovládací prvky skeneru. Nicméně, budete mít neustále před očima technologa oknem. Reproduktory uvnitř skeneru umožní technolog komunikovat a slyšet. Budete mít volací tlačítko, takže můžete nechat technolog vědět, pokud máte nějaké problémy během řízení. Technolog bude vás sledují po celou dobu a bude v neustálém spojení.
Budete mít špunty do uší nebo sluchátka s mikrofonem nosit pomoci zablokovat hluk ze skeneru. Některé headsety mohou poskytovat hudbu poslouchat.
Během procesu skenování, bude zvuk cvakání, jak se vytváří magnetické pole a impulsy z radiových vln jsou odesílány ze skeneru.
Bude pro vás důležité zůstat velmi ještě v průběhu zkoušky, jak je každý pohyb může způsobit zkreslení a vliv na kvalitu skenování.
V pravidelných intervalech, může být poučeni, aby zadržte dech, nebo ne dýchat, po dobu několika sekund, v závislosti na části těla zkoumáno. Ty pak budou řečeno, když můžete dýchat. Neměli byste mít na zadržte dech po dobu delší než několik sekund.
Je-li kontrast barvivo se používá pro řízení, můžete mít pocit, některé efekty, kdy je barvivo vstřikuje do intravenózní soupravy. Tyto účinky patří návaly pocit nebo pocit chladu, slané nebo kovová chuť v ústech, krátký bolest hlavy, svědění, nebo nevolnost a / nebo zvracení. Tyto účinky obvykle trvají několik okamžiků.
Měli byste se informovat technolog, pokud máte pocit, nějaké potíže s dýcháním, pocení, necitlivost nebo bušení srdce.
Jakmile je skenování dokončeno, bude tabulka vysunout skeneru, a budete je nápomocen ze stolu.
Pokud IV linka byla vložena pro podání kontrastní, bude čára bude odstraněn.
Zatímco postup MRI samotný způsobuje bolest, museli ležet na délku procesu může způsobit nepohodlí nebo bolest, a to zejména v případě, že nedávné zranění nebo invazivní postup, jako je operace. Technolog bude využívat veškerý komfort opatření a dokončete postup tak rychle, jak je to možné, aby se minimalizovalo jakékoli nepohodlí nebo bolest.
V některých případech, u některých pacientů s kovovou výplní ve svých zubů může dojít k nějaké mírné brnění zubů v průběhu řízení.
Po zákroku
Zde by se měl pohybovat pomalu při vstávání od stolu skeneru, aby se zabránilo závratě nebo točení od naplocho na délku řízení.
Pokud byla přijata nějaká sedativa pro řízení, může být nutné k odpočinku, dokud sedativa neodezní. Budete také potřebovat, aby se zabránilo jízdu.
Je-li kontrast barvivo se používá během řízení, může být sledován po dobu jakýchkoliv nežádoucích účinků nebo reakcí na kontrastní barvivo, jako je svědění, otok, vyrážka nebo potíže s dýcháním.
Pokud si všimnete jakýchkoli bolest, zarudnutí a / nebo otok v místě IV poté, co se vrátíte domů po proceduře, měli byste informovat svého lékaře, protože to může znamenat infekci nebo jiný typ reakce.
V opačném případě, není tam žádný zvláštní typ péče nutné po MRI páteře a mozku. Můžete pokračovat ve své běžné dietě a činnosti, pokud váš lékař vám poradí jinak.
Váš lékař vám může dát další nebo alternativní pokyny po zákroku, v závislosti na vaší konkrétní situaci.
Online zdroje
Obsah zde uvedené slouží pouze pro informační účely a není určen k diagnóze nebo léčení zdravotní problém nebo nemoc, nebo nahradit odbornou lékařskou pomoc získáte od svého lékaře. Prosím, poraďte se se svým lékařem s případnými dotazy nebo připomínky můžete mít ohledně Vašeho onemocnění.
Tato stránka obsahuje odkazy na jiné webové stránky s informacemi o tomto postupu a souvisejících zdravotních onemocnění. Doufáme, že najdete tyto stránky užitečné, ale pamatujte, nemáme pod kontrolou ani neschvaluje informace uvedené na těchto internetových stránkách, ani si tyto stránky Podporují informace zde obsažené.
Evropská akademie neurologických a ortopedických chirurgů
Evropská akademie neurologie - Veřejné školství
Evropská akademie ortopedických chirurgů
Sdružení poranění mozku z Ameriky
Národní institut rakoviny (NCI)
Národní institut dětského zdraví a lidského vývoje
Národní institut neurologických nepořádků a mrtvice
